近日,菏泽市立医院紧急救治这样一位患者,端坐呼吸,憋喘面容,痛苦的说不出话。到达医院后,心内二科医师展庆垒对她进行快速查体,满肺的湿性啰音,心音低,心电图提示前壁ST段抬高并新发左束支传导阻滞,展庆垒医师心猛地一沉,与副主任医师梁记华汇报病情。
患者心肌梗死合并急性左心衰,心肌细胞缺血缺氧面积大,命悬一线,此次只有及时的开通血管才能挽救患者生命,但患者病情危重,患者缺氧,血氧饱和度急速下降,并且不能躺平,为手术增大了难度,这时候梁记华快速判断病情,与主任医师吴付轩电话联系,商议后决定对患者进行气管插管、有创呼吸机辅助呼吸状态下紧急手术,与死神赛跑,为患者的生命抢时间,以心内二科主任医师吴付轩为主导的介入团队快速到位,吴付轩安抚家属紧张、担心的情绪,耐心与家属沟通病情,家属看到吴主任的职业素养,决定放手一搏。
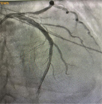
一场与死神争夺生命的战斗拉开了序幕。启动导管室,在呼吸机支持下行急诊冠脉造影,造影过程中患者血压低,生命体征不平稳,紧急植入IABP泵维持患者血压,在IABP泵辅助循环、呼吸机辅助呼吸支持下,成功进行冠脉造影,冠脉造影诊断:冠状动脉双支病变,于罪犯血管LAD植入1枚支架,尝试开通LCX,变换导丝不能通过,考虑LCX为CTO,择期处理LCX病变,植入支架后患者转入重症监护室,经积极治疗成功撤离呼吸机及IABP泵支持后,转至心内科病房,优化药物治疗后,患者病情后好转出院。

术前图

术后图
“这个病人的抢救成功是菏泽市立医院心内科成功抢救危重症病人中的一例,菏泽市立医院心内科与重症监护室、急诊科等科室协同合作,抢救成功了众多的危重症病人,危重症病人病情复杂、情况危急,需要快速的临床决策,这对我们来说即是挑战也是突破,我们也在临床工作中不断的摸索、学习,提高技术水平,为菏泽人民提供更好的医疗保障。”吴付轩说。
菏泽市立医院专家提示:
冠心病目前又称“生活方式病”,采取健康的生活方式,积极的治疗,有助于身体康复、改善生活质量。
1.生活方式方面
要注意生活规律,戒烟戒酒,尽量不要喝浓茶、咖啡等刺激性饮料;饮食注意低盐低脂饮食,少吃油腻、腌制食物;控制体重;急性期出院后,每天身体活动10分钟左右开始,逐渐增加运动时间,康复期适当中等强度运动(建议每周3-5次,每次持续20-30分钟运动,如慢跑、散步等);保持心情舒畅,情绪稳定。不要熬夜,保证充足有效的睡眠。
2.治疗与康复
遵医嘱长期服药,尤其是心血管置入支架病人,不要随意自行停药,若有身体不适或需要调整药物,应先咨询医生;定期复查监测血压、心率、血脂等,监测药物不良反应;急救药物随身携带(如速效救心丸、硝酸甘油等)
3.如有病情加重或持续胸痛,请及时拨打胸痛中心电话17753000120,及时开通生命通道。
速豹新闻网·山东商报记者 张洪燕 通讯员 翟艳杰